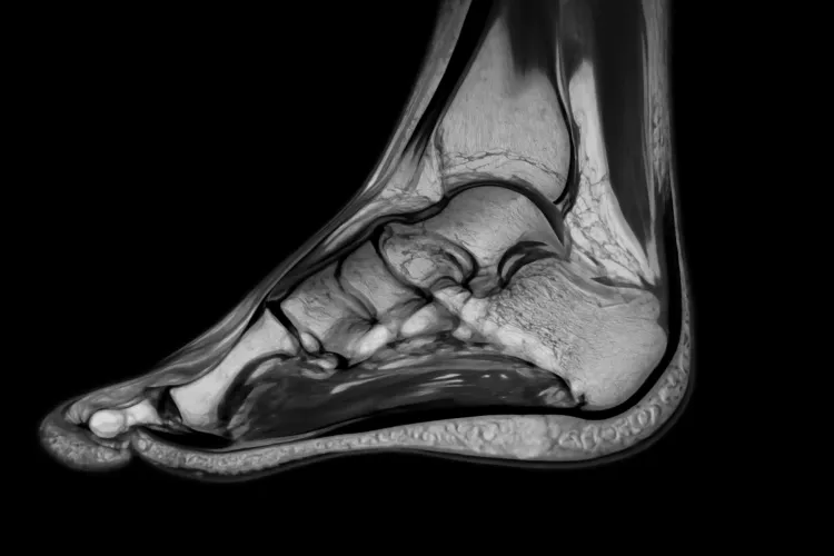
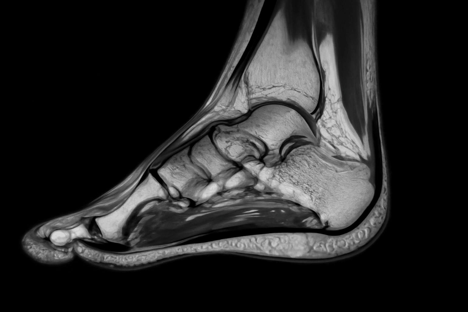
МРТ стопы в Долгопрудном представляет собой современный и высокоинформативный метод диагностики. Этот инструмент позволяет получить детальные изображения мягких тканей, суставов и костей стопы, что существенно помогает в установлении точных диагнозов. Процедура выполняется с использованием магнитного поля и радиоволн, не требуя применения ионизирующего излучения.
Состояние стопы зачастую влияет на общую мобильность человека, поэтому раннее выявление возможных заболеваний становится первостепенной задачей. Уникальность метода заключается в его способности отображать изменения на ранних стадиях, что значительно увеличивает эффективность лечения.
Особенности и подготовка к процедуре
Магнитно – резонансная томография стопы имеет несколько особенностей, которые важно учитывать перед непосредственным обследованием. Процедура проходит в специальном аппарате, где пациент разместится в туннеле, поэтому пространство может показаться ограниченным. Перед началом диагностики необходимо уточнить наличие металлических предметов, так как магнитное поле может повлиять на них и на результат обследования.
Подготовка к процедуре состоит из нескольких этапов. Необходимо иметь при себе направление от врача, а также ознакомиться с правилами подготовки. Рекомендуется одеваться в удобную, свободную одежду, без металлических застежек и деталей. Кроме того, желательно исключить использование косметики, содержащей металл, чтобы избежать искажений в получаемых изображениях.
Пациент должен обсудить с врачом свои медицинские условия и наличие противопоказаний, если таковые имеются. Эта информация помогает избежать возможных осложнений и определить, насколько процедура безопасна и эффективна для данного человека.
Когда идти на обследование?
Диагностику стопы необходимо проводить в определенных случаях, когда возникают подозрения на различные заболевания или травмы. Рассмотрим основные показания, которые могут стать причиной обращения за обследованием:
- Боль в стопе: постоянные или острые боли, которые не проходят с помощью обычных болеутоляющих средств.
- Отечность: увеличение объема стопы, особенно в сочетании с болевыми ощущениями.
- Травмы: подозрение на перелом или вывих после непосредственной травмы стопы, даже если визуально повреждений нет.
- Снижение подвижности: ограничение движения в суставах стопы без видимых причин.
- Нарушение кровообращения: признаки недостатка кровоснабжения, такие как похолодание или изменение цвета кожи.
- Подозрение на опухоль: наличие неопределенных образований или новообразований в области стопы.
При появлении этих симптомов настоятельно рекомендуется обратиться к специалисту для назначения обследования и проведения дальнейшей диагностики.
Что может выявить МРТ?
Процедура предоставляет возможность обнаружить широкий спектр заболеваний и состояний. Рассмотрим основные патологии, которые может выявить это обследование:
- Переломы и трещины.
- Воспалительные заболевания: артриты и тендиниты.
- Травмы мягких тканей: повреждения связок и сухожилий.
- Опухоли.
- Дегенеративные изменения: артрозы.
- Кисты и абсцессы.
Эти результаты помогают врачам установить точный диагноз и определить дальнейшее лечение, что значительно повышает эффективность медицинской помощи.
Противопоказания
Несмотря на свою безопасность, методика имеет ряд противопоказаний. Важно учитывать эти факторы перед проведением обследования. Ниже представлена таблица с основными противопоказаниями:
Металлические импланты
Наличие кардиостимуляторов, металлических или электронных имплантов.
Беременность
В период беременности, особенно в первом триместре, рекомендуется избегать процедуры.
Аллергия на контраст
Повышенная чувствительность или аллергия на контрастные вещества, используемые в МРТ.
Психические расстройства
Тяжелые формы клаустрофобии или другие психические заболевания, затрудняющие пребывание в замкнутом пространстве.
Некоторые заболевания
Острые инфекционные заболевания или состояния, требующие немедленного медицинского вмешательства.
Перед проведением томографии необходимо проконсультироваться с врачом, чтобы исключить возможные риски и выбрать оптимальный метод диагностики.
Результаты
После проведения МРТ стопы в Долгопрудном пациент получает детализированные результаты, которые позволяют оценить состояние стопы. Вот основные аспекты, которые могут быть выявлены в результате исследования:
- Определение наличия и характера травм, таких как переломы или разрывы связок.
- Наличие артритов, тендинитов и других воспалительных заболеваний.
- Изменения в структуре костной и мягкой тканей, которые могут указывать на патологии.
- Обнаружение наличия новообразований, таких как кисты или опухоли, их размеры и локализация.
- Оценка сосудистого русла, что важно для выявления нарушений кровообращения.
- Подробная информация о возможных аномалиях, таких как плоскостопие или другие структурные изменения.
Эти результаты помогают врачам в планировании необходимой терапии и принятии решений о дальнейшем лечении.
Сколько стоит МРТ стопы в Долгопрудном?
| Исследование | Цена | |
|---|---|---|
| Обычное | Доктором наук | |
| МРТ локтевого сустава | 6 000 | 6 200 |
| МРТ плечевого сустава | 6 000 | 6 200 |
| МРТ лучезапястного сустава | 6000 | 6200 |
| МРТ кисти | 6 000 | 6 200 |
| МРТ коленного сустава | 5 800 | 6 000 |
| МРТ голеностопного сустава | 6 000 | 6 200 |
| МРТ стопы | 6 000 | 6 200 |
| МРТ-исследование плечевых нервных сплетений с введением контрастного вещества ( исследование проводит д.м.н Китаев С.В.) | — | 12 500 |
| Исследование | Цена | |
|---|---|---|
| Обычное | Доктором наук | |
| МРТ 2-х тазобедренных суставов | 9 500 | 9 900 |
| МРТ 2-х плечевых суставов | 10 500 | 10 900 |
| МРТ 2-х коленных суставов | 10 000 | 10 400 |
| МРТ 2-х лучезапястных суставов | 11 000 | 11 400 |
| МРТ 2-х голеностопных суставов | 11 000 | 11 400 |
| МРТ 2-х челюстных суставов (с функциональными пробами) | 9 500 | 9 900 |
| МРТ 2-х кистей | 11 000 | 11 400 |
| МРТ кисти+ МРТ лучезапястного сустава (одной руки) | 9 500 | 9 900 |
| МРТ коленного сустава + МРТ голеностопного сустава (одной ноги) | 9 500 | 9 900 |
| МРТ стопы + МРТ голеностопного сустава (одной ноги) | 9 500 | 9 900 |
| МРТ суставов нижней конечности: МРТ коленного сустава + МРТ голеностопного сустава + МРТ стопы (одной ноги) | 12 500 | 12 900 |
| Комплексное исследование всех суставов: 2 тазобедренных .2 плечевых, 2 коленных, 2 голеностопных, 2 локтевых суставов. | 40 000 | 41 000 |



