Материалы с тегом «голова»
Под магнитно-резонансной томографией принято подразумевать неинвазивно обследование, помогающее лечащему доктору поставить правильный диагноз и…
Эффективным методом диагностики отклонений в организме является магнитно-резонансная томография – методика исследования, которая предоставляет…
Околоносовыми пазухами принято называть воздухоносные пространства, соединенные с носовой полостью. Они находятся в костях лицевого и мозгового…
МРТ сетчатки глаза поможет выявить заболевания в начальной стадии. Таким образом, будет намного проще избавиться от недугов. С помощью простого…
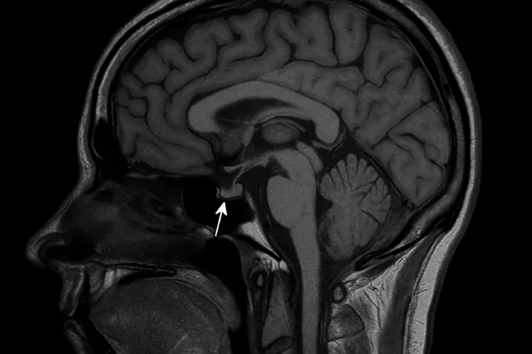
Большинство образований внутри черепной коробки связано с аденомой гипофиза. Некоторые из них могут возникать в зоне Турецкого седла, поэтому…








